Behandlung von Spondylodiszitis im HGH Bensheim
Eine Spondylodiszitis (Wirbelkörper-Bandscheiben-Entzündung) ist eine schwere Entzündung, die zunächst die Bandscheiben befällt und sich anschließend auf die angrenzenden Wirbelkörper ausdehnt. Die Hauptursache für diese Entzündung sind Bakterien, insbesondere Staphylococcus aureus, der in 55-90 % der Fälle nachgewiesen wird. Weitere mögliche Erreger sind Streptokokken, Escherichia coli und in selteneren Fällen Tuberkuloseerreger, Salmonellen oder andere Darmbakterien.
Häufigkeit der Spondylodiszitis
Die Inzidenz, also das Auftreten von Neuerkrankungen pro Jahr, liegt bei etwa 1:250.000 Personen. Nach chirurgischen Eingriffen an der Wirbelsäule, wie z. B. Bandscheibenoperationen, besteht ein erhöhtes Risiko für die Entwicklung einer Spondylodiszitis, mit einer Wahrscheinlichkeit von 0,2–3,0 %. Besonders in Regionen mit hoher Tuberkulose-Prävalenz wird ein Anstieg der Tuberkulose-assoziierten Spondylodiszitis beobachtet.
Entstehung der Spondylodiszitis
Bakterien können über Wunden, Injektionen, Infektionen der Atemwege, des Magen-Darm-Traktes oder über die Nieren in den Blut- oder Lymphkreislauf gelangen und sich in den Wirbelkörpern ansiedeln. Diese Bakterien vermehren sich dort und führen zu einer Entzündung der Wirbelkörper. Wird diese nicht rechtzeitig erkannt und behandelt, können die betroffenen Wirbelkörper und Bandscheiben in ihrer Struktur und Stabilität erheblich geschwächt oder zerstört werden. Begünstigende Faktoren für das Fortschreiten der Erkrankung sind unter anderem langfristige Therapien mit entzündungshemmenden Medikamenten wie Kortison, Alkoholmissbrauch und Diabetes mellitus.
Symptome
Typische Symptome der Spondylodiszitis sind anhaltende Rückenschmerzen, verbunden mit allgemeiner körperlicher Schwäche, Unwohlsein, Fieber, Appetitlosigkeit und unbeabsichtigtem Gewichtsverlust. Diese Beschwerden treten häufig durch Schmerzen in Ruhephasen, insbesondere bei Nacht und bei Bewegungen der Wirbelsäule auf. Unbehandelt kann die Infektion zur Zerstörung der Bandscheibe und des Knochens führen und sich auf die umgebenden Gefäße, Nerven und Muskeln ausbreiten, was im schlimmsten Fall eine lebensbedrohliche Blutvergiftung (Sepsis) auslösen kann.
Kontakt
Diagnostik und Therapie von Rückenschmerzen durch Spondylodiszitis
Rückenschmerzen können vielfältige Ursachen haben und müssen nicht immer durch eine Entzündung bedingt sein. Häufig werden diese Schmerzen als „nicht spezifisch“ klassifiziert. Wenn jedoch der Verdacht auf eine Spondylodiszitis besteht, ist eine präzise Diagnosestellung mittels apparativer Diagnostik unerlässlich. Dies umfasst Laboruntersuchungen, Blutkulturen zur Identifikation von Bakterien und verschiedene bildgebende Verfahren wie Röntgen, MRT und CT. Dank unserer Kooperation mit einer spezialisierten radiologischen Praxis haben wir direkten Zugriff auf moderne CT- und MRT-Geräte, sodass wir umfassende diagnostische Möglichkeiten vor Ort bieten können.
Bildgebende Diagnostik
MRT und CT sind entscheidend für die präzise Diagnose einer Spondylodiszitis. Während das CT schnelle und detaillierte Informationen über die Knochenstruktur liefert und Zerstörungen oder Deformitäten aufzeigt, ermöglicht das MRT eine umfassende Beurteilung des entzündlichen Prozesses und des Weichteilgewebes. Beide Verfahren ergänzen sich ideal, um die genaue Lage und Ausdehnung der Entzündung zu bestimmen und eine gezielte, effektive Therapie zu ermöglichen.
Zur Vermeidung von Folgeschäden ist es auch wichtig, eine Herzultraschalluntersuchung (Echokardiografie) durchzuführen.
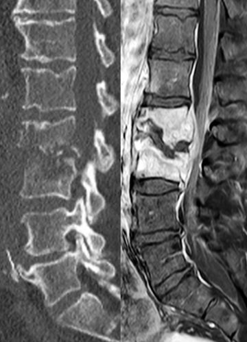
Auf den Bildern ist eine Wirbelkörperentzündung der Lendenwirbelkörper 2 und 3 zu sehen. Beim linken Bild zeigt das CT eine Zerstörung des Knochens und ein beginnendes „Ineinandersinken“ der Wirbelkörper. Das MRT zeigt auf der rechten Seite eine deutliche Signaländerung der Wirbelkörper (heller) als Ausdruck eines entzündlichen Prozesses. Zusätzlich wird ein Abszess im Rückenmarkskanal sichtbar, welcher den Rückenmarkskanal einengt und zu Ausfallerscheinungen führt (beginnende Querschnittsymptomatik).
Therapie der Spondylodiszitis
Die Therapie der Spondylodiszitis orientiert sich an dem Ausmaß der Wirbelsäulenschädigung und wird stets durch eine Antibiotikatherapie (Kombinationstherapie aus mehreren Antibiotika für mindestens 6 Wochen) unterstützt. Bei unkomplizierten Fällen kann die Behandlung durch Ruhigstellung des betroffenen Bereichs mittels Orthese, regelmäßige Laboruntersuchungen oder eine CT-gesteuerte Drainageneinlage erfolgen.
In schwereren Fällen, bei signifikanter Zerstörung der Wirbelkörper oder Beeinträchtigung des Rückenmarkskanals, ist eine operative Intervention erforderlich. Dabei wird das entzündete Gewebe entfernt und die benachbarten Wirbelkörper durch ein Schrauben-/Stabsystem stabilisiert.
Für eine exakte Diagnostik und eine effektive Therapie stehen wir Ihnen durch unsere modernen bildgebenden Verfahren, insbesondere durch CT und MRT, zur Verfügung. Unser erfahrenes Team gewährleistet eine umfassende Betreuung und maßgeschneiderte Behandlung für Ihre Gesundheit.
















