Behandlung von Wirbelkörperbrüchen im HGH Bensheim
Im HGH Bensheim umfasst die Behandlung von Wirbelkörperfrakturen ein breites Spektrum – von osteoporosebedingten Brüchen bis hin zu komplexen Wirbelkörpertrümmerungen, die Nerven oder das Rückenmark schädigen und im schlimmsten Fall eine Querschnittslähmung verursachen können. Angesichts dieser Vielfalt ist eine gründliche klinische Untersuchung und umfassende Bildgebung (Röntgen, CT, MRT) entscheidend, um die bestmögliche Therapie auszuwählen.
Zur präzisen Beurteilung und individuellen Therapieplanung wird die Bruchform detailliert analysiert und klassifiziert. Bei unfallbedingten Brüchen nutzen wir die sogenannte „AO-Klassifikation“, während für osteoporosebedingte Verletzungen die „OF-Klassifikation“ angewendet wird. Diese Klassifikationen berücksichtigen den Entstehungsmechanismus, die auf den Wirbelkörper wirkenden Kräfte (wie Druck, Zug oder Rotation), die betroffenen Wirbelkörperabschnitte sowie klinische Parameter, wie Schmerzintensität und Begleiterkrankungen.
Je nach Schweregrad, Lokalisation und Art der Verletzung kann eine konservative Behandlung, das heißt ein abwartendes und kontrollierendes Verhalten, ausreichend sein. Dies ist besonders dann der Fall, wenn die verletzten Wirbelkörperabschnitte stabil sind und keine unmittelbare Gefahr für die Statik der Wirbelsäule oder das Rückenmark besteht.
Bei instabilen Frakturen oder erheblichen Verletzungen tragender Wirbelkörperabschnitte besteht jedoch die Gefahr einer weiteren Verschlechterung der Wirbelsäulenharmonie oder einer Schädigung des Rückenmarks. In solchen Fällen stehen dem Chirurgen verschiedene operative Verfahren zur Verfügung, um die Statik der Wirbelsäule wiederherzustellen. Diese reichen von der einfachen Zementierung der Wirbelkörper (Kyphoplastie oder Vertebroplastie) bis hin zum vollständigen Ersatz eines Wirbelkörpers durch Implantate.
Unser Ziel im HGH Bensheim ist es, die für Sie individuell beste Behandlungsstrategie zu finden, um sowohl Ihre Mobilität als auch Ihre Lebensqualität schnellstmöglich wiederherzustellen.
Kontakt
Konservative (nicht operative) Behandlung von Wirbelkörperbrüchen
„Einfache“ Wirbelkörperbrüche, wie sie beispielsweise bei Osteoporose auftreten, können häufig ohne eine Operation behandelt werden. Die konservative Therapie zielt in erster Linie auf eine effektive Schmerzbehandlung ab, um eine schmerzfreie oder zumindest schmerzarme Mobilisation des Patienten zu ermöglichen. Hierbei kommen Schmerzmittel und physikalische Therapien zum Einsatz.
Regelmäßige Röntgenkontrollaufnahmen dienen zur Überwachung des Heilungsverlaufs und sind ein wichtiger Bestandteil der konservativen Behandlung. Sollte bereits eine Osteoporose vorliegen, wird zudem eine gezielte medikamentöse Therapie eingeleitet, insofern dies noch nicht geschehen ist. Der Einsatz eines Korsetts zur Stabilisierung der Wirbelsäule ist nur in speziellen Fällen erforderlich.
Sollte unter der konservativen Therapie keine ausreichende Besserung der Beschwerden eintreten oder sich der Zustand des Patienten verschlechtern, kann auch bei stabilen Frakturen eine operative Behandlung in Erwägung gezogen werden.
Kyphoplastie bei osteoporotischen Wirbelkörperbrüchen
Osteoporose ist eine systemische Erkrankung des Skeletts, die zu einer Verringerung des Knochensalzgehalts und damit zu einer Schwächung der Knochen führt. Bei einem oder mehreren Brüchen aufgrund dieser Erkrankung spricht man von einer manifesten Osteoporose. Diese Krankheit ist oft symptomlos, bis es zu einem Bruch kommt.
Die Kyphoplastie ist ein minimalinvasives Verfahren zur Behandlung von osteoporotischen Wirbelkörperbrüchen. Hierbei werden zwei Hohlnadeln in den betroffenen Wirbelkörper eingebracht. Durch diese Nadeln wird ein kleiner, flüssigkeitsgefüllter Ballon eingeführt, der den gebrochenen Wirbelkörper aufrichtet. Der dadurch entstehende Hohlraum wird anschließend mit speziellem Zement gefüllt, um den Wirbel zu stabilisieren.
Da osteoporotische Wirbelkörperbrüche in der Regel stabile Brüche sind, ist es in den meisten Fällen nicht notwendig, den betroffenen Wirbelsäulenabschnitt zusätzlich durch ein Schrauben-Stab-System zu stabilisieren.
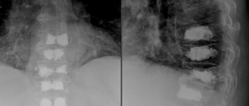
Kyphoplastie mehrerer Brustwirbelkörper bei Brüchen der Brustwirbelsäule (Multiples Myelom).
Operative Therapie von Wirbelkörperbrüchen
Die Entscheidung für eine operative Behandlung von Wirbelkörperbrüchen hängt maßgeblich von der Art und dem Schweregrad des Bruchs ab, die durch spezifische Klassifikationen (z. B. AO-Klassifikation) bestimmt werden. Es stehen verschiedene Operationsmethoden zur Verfügung:
Schrauben/Stab-System
Eine dorsale Instrumentierung, also eine Versteifung von Wirbelsäulenabschnitten von hinten, ist erforderlich, wenn komplexe oder instabile Wirbelkörperbrüche vorliegen. Diese Methode wird sowohl zur endgültigen Stabilisierung eines Bruchs als auch als erste Maßnahme bei instabilen Wirbelbrüchen eingesetzt, oft in Form einer Notfalloperation.
Bei dieser Technik werden in die Wirbelkörper ober- und unterhalb des gebrochenen Wirbels jeweils zwei Schrauben (links und rechts) von hinten eingebracht und durch ein Stabsystem miteinander verbunden. Dadurch wird die Belastung des gebrochenen Wirbels überbrückt, was dessen Heilung ermöglicht. Die Operation kann entweder konventionell „offen“ mit einem großen Hautschnitt oder minimalinvasiv mit mehreren kleinen Hautschnitten durchgeführt werden.
Die offene Methode wird seit Jahrzehnten angewendet und ermöglicht eine nachhaltige Korrektur schwerer Wirbelsäulenverkrümmungen. Der Nachteil besteht jedoch in einer größeren Wundfläche, die zu mehr postoperativen Schmerzen und einer längeren Wundheilungsdauer führt.
Minimalinvasive Techniken, die bei vielen Wirbelkörperbrüchen angewendet werden können, sind weniger invasiv und ermöglichen eine schnellere Genesung. Selbst wenn eine Dekompression des Rückenmarkkanals notwendig ist, kann diese Methode die ursprüngliche Beweglichkeit der Wirbelsäule bewahren, sodass nach der Entfernung der Schrauben und Stäbe die Wirbelsäule wieder beweglich wird.
Hintere Stabilisierung eines Bruches des 12. Brustwirbelkörpers mit zementierten Schrauben und in minimalinvasiver Technik bei Osteoporose.
Wirbelkörperersatz
Der Wirbelkörperersatz wird bei instabilen Brüchen angewendet, die häufig aus mehreren Bruchstücken bestehen und ein Kippen der Wirbelsäule nach vorne zur Folge haben können. In der Regel wird zuerst eine hintere Stabilisierung durchgeführt, um den zerstörten Wirbelkörper von der Seite her zu entfernen. Der gebrochene Wirbelkörper wird dann durch einen sogenannten „Cage“, einen künstlichen Wirbelkörper aus Titan oder einer hochwertigen Legierungen, ersetzt.
Ziel dieser Operation ist es, eine dauerhafte Festigkeit und knöcherne Verbindung zwischen den benachbarten Wirbeln zu erreichen, um eine belastungsstabile Wirbelsäule wiederherzustellen.
Hintere offene Stabilisierung durch ein Schrauben/Stab-System und Wirbelkörperersatz bei Bruch des 4. Lendenwirbelkörpers.
















