Die Behandlung von Wirbelsäulendegenerationen im HGH Bensheim
Wirbelsäulendegenerationen sind eine weit verbreitete Herausforderung, die insbesondere im Alter an Bedeutung gewinnt. Die fortschreitende Abnutzung der Bandscheiben, Wirbelgelenke und anderer Strukturen der Wirbelsäule kann zu erheblichen Beschwerden und Einschränkungen führen. Vom schleichenden Verlust der Beweglichkeit bis hin zu akuten Schmerzen kann die Lebensqualität erheblich beeinträchtigt werden
Im HGH Bensheim haben wir uns darauf spezialisiert, Ihnen bei der Bewältigung dieser komplexen und oft schmerzhaften Erkrankungen zu helfen. Unser Ziel ist es, durch eine präzise Diagnostik und ein breites Spektrum an maßgeschneiderten Behandlungsmöglichkeiten, die für Ihre individuellen Bedürfnisse am besten geeigneten Therapieansätze zu finden. Wir setzen dabei auf modernste Technologien, konservative und minimalinvasive Verfahren sowie gegebenenfalls auf gezielte chirurgische Eingriffe, um Ihre Beschwerden zu lindern und Ihre Lebensqualität zu verbessern.
Erfahren Sie mehr über unser umfassendes Behandlungsspektrum und wie wir Ihnen helfen können, Ihre Wirbelsäulengesundheit wiederherzustellen und langfristig zu erhalten.
Kontakt
Die Bandscheibe und Ihre Rolle bei Wirbelsäulenbeschwerden
Aufbau und Funktion der Bandscheibe
Die Bandscheibe besteht aus zwei Hauptkomponenten: dem äußeren Faserring (Anulus fibrosus) und dem inneren, geleeartigen Kern (Nucleus pulposus). Diese Struktur befindet sich zwischen zwei Wirbelkörpern und hat die Aufgabe, Stöße abzufedern und Bewegungen zwischen den Wirbelkörpern zu ermöglichen. Der Kern speichert Wasser und trägt so zur Dämpfung der Wirbelsäule bei. Die Bandscheibe erhält ihre Nährstoffe indirekt durch die angrenzenden Wirbelkörper, da bei Erwachsenen keine direkten Blutgefäße mehr vorhanden sind.
Mit dem Alter unterliegt die Bandscheibe einem natürlichen Degenerationsprozess. Neben genetischer Veranlagung tragen auch Faktoren wie schwere körperliche Belastungen, übermäßige sportliche Aktivitäten, starker Alkohol- und Nikotinkonsum sowie Fehlstellungen wie Skoliose zum Verschleiß der Bandscheibe bei. Diese Degeneration führt zu einem Verlust von Höhe und Elastizität der Bandscheibe und kann einen „Teufelskreis“ der weiteren Verschlechterung in Gang setzen.
Degenerative Veränderungen der Bandscheibe
Der Faserring kann sich im Verlauf der Degeneration in Form von kleinen Aussackungen (Protrusionen) in den Rückenmarkskanal wölben. Dies ist zwar häufig zu beobachten, stellt jedoch in der Regel keinen Grund zur Besorgnis dar und unterscheidet sich von einem tatsächlichen Bandscheibenvorfall. Solche Veränderungen sind Teil des natürlichen Alterungsprozesses.
Veränderungen der Wirbelsäulengelenke
Mit der Degeneration der Bandscheibe verschiebt sich die Last auf die kleinen Wirbelgelenke (Facettengelenke) an der Rückseite der Wirbelsäule. Diese Gelenke können durch den Verlust der Knorpelschicht und die Ausbildung von Arthrose beeinträchtigt werden. Im Frühstadium der Arthrose können sich Zysten bilden, und die Gelenke können verplumpen, was zu Rückenschmerzen und Steifheit führt.
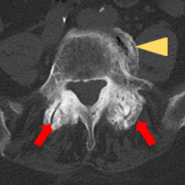
Bildgebung der Wirbelsäulengelenke
Ein CT-Horizontalschnitt zeigt, dass die kleinen Wirbelgelenke durch Arthrose in ihrer Beweglichkeit eingeschränkt und der Gelenkspalt reduziert sein kann (rote Pfeile). Zusätzlich können Knochenbrücken zwischen benachbarten Wirbelkörpern (gelber Pfeil) entstehen, was zu einer weiteren Belastung der Wirbelsäule führt.
Auf dem Bild ist ein CT-Horizontalschnitt durch einen Wirbelkörper zu sehen. Der rote Pfeil zeigt kleine Wirbelkörpergelenke mit Verlust der Beweglichkeit und Aufbrauchen des Gelenkspalts durch Arthrose. Der gelbe Pfeil zeigt benachbarte wirbelkörperüberspannende Knochenbrücken.
Veränderungen der Dornfortsätze
Die Dornfortsätze der Wirbelkörper, die den hinteren Abschluss jedes Wirbels darstellen und an denen die Rückenmuskulatur befestigt ist, können ebenfalls degenerieren und verknöchern. Dies führt zu einer Einschränkung der Beweglichkeit der Wirbelsäule. Ein fortgeschrittener Verknöcherungsprozess kann den Rückenmarkskanal einengen, was zu zusätzlichen Schmerzen und einer weiteren Einschränkung der Beweglichkeit führt.
Statik und Bewegungseinschränkungen
Durch die Umbauprozesse, wie der Höhenminderung der Bandscheiben und lokalen Entzündungen, kann es zu erhöhtem „Gelenkspiel“ kommen. Dies führt zu einer Verschiebung und Rotation der Wirbelkörper und kann eine Altersskoliose (Verdrehung der Wirbelsäule) verursachen. Diese Veränderungen belasten die Muskulatur zusätzlich und verstärken Rückenschmerzen.
Zusammenfassung Veränderungen
Die fortschreitende Degeneration der Wirbelsäule geht häufig mit einem Anbau von Knochenstrukturen einher. Der begrenzte Raum im Wirbelkanal kann die umliegenden Nervenstrukturen beeinträchtigen und zu einer Rückenmarkkanaleinengung (Spinalkanalstenose) führen. Dies kann zu ausstrahlenden Schmerzen in den Beinen und einer langsamen Reduzierung der Gehstrecke führen.
Therapiemöglichkeiten bei altersbedingten Wirbelsäulenveränderungen
Nicht immer ist eine Operation erforderlich. Häufig können konservative Maßnahmen wie gezielte Physiotherapie, Physikalische Therapie, und schmerzlindernde Medikamente bereits zu einer signifikanten Verbesserung führen. Weitere alternative Verfahren wie Osteopathie, Akupunktur oder Wärmebehandlungen können ebenfalls hilfreich sein.
Infiltrationen (Spritzen)
Bei anhaltenden Schmerzen können gezielte Injektionen wie Facetteninfiltrationen, periradikuläre Injektionen (PDA) oder Wurzelblockaden zur Linderung beitragen. Diese Spritzen bringen schmerzlindernde Medikamente direkt an den Ort der Schmerzursache.
Operative Optionen
Wenn konservative Maßnahmen nicht ausreichend sind, kann eine Operation erforderlich werden. Bei lokalisierten Engstellen kann eine Dekompression des Rückenmarkkanals oder eine Foraminotomie (chirurgische Erweiterung des Nervenaustrittskanals) durchgeführt werden. Bei umfangreicher Degeneration oder nicht mehr abgrenzbaren Schmerzauslösern kann eine Stabilisierung der Wirbelsäule durch Schrauben und Stäbe (Spondylodese) notwendig sein. Diese Operation wird oft in Kombination mit einer Dekompression und Entfernung der Bandscheibe durchgeführt.
Schlussbemerkung
Der schleichende Alterungsprozess der Wirbelsäule führt oft zu einer eingeschränkten Beweglichkeit und anhaltenden Schmerzen. Eine umfassende Diagnostik und individuell angepasste Therapie sind entscheidend, um die Lebensqualität zu verbessern. Regelmäßige Untersuchungen und eine angepasste Therapie können helfen, die Symptome zu lindern und die Beweglichkeit zu erhalten.
















